Magic, un vivace cucciolo di Setter Irlandese, era stato temporaneamente ospitato dalla famiglia Martin in attesa di trovargli una sistemazione definitiva.
Alla prima visita veterinaria Magic era risultato sano come un pesce e il veterinario gli aveva somministrato il vaccino come di routine…ma, nemmeno una settimana dopo, zoppicava vistosamente.
Dapprima i Martin non diedero molto peso alla cosa, credendo si trattasse semplicemente dell’effetto di un “urto” con qualcuno dei setter adulti: ma Magic stava sempre peggio e aveva la febbre.
La sera stessa la temperatura del cucciolo era salita a 40,5 ° e Magic fu portato al pronto soccorso veterinario.
Lì fu curato per la febbre e furono fatti test per la Valley Fever e la Tick Fever (malattie veicolate dal morso di zecca): l’indomani fu portato dal veterinario di fiducia che diagnostico l’osteodistrofia ipertrofica e decise di iniziare una terapia a base di cortisone (prednisone).
Magic si rimise rapidamente e venne adottato, ma meno di una settimana prima dell’adozione una febbriciattola fece la sua comparsa. Gli fu diagnosticata una banale infezione urinaria, che gli costò la vita a causa di un sistema immunitario fortemente indebolito.
I Martin, in 13 anni di coinvolgimento nel mondo del Setter Irlandese, non avevano mai sentito parlare dell’ osteodistrofia ipetrofica e tuttora se ne rammaricano: forse una maggior competenza avrebbe potuto salvare Magic.
CHE COS’E’ L’OSTEODISTROFIA IPERTROFICA?
L’osteodistrofia ipetrofica (HOD Hypertrophic Osteodystrophy) è una malattia della crescita che interessa i cani di taglia grande.
Tra le razze più colpite ricordiamo il Setter Irlandese, l’Alano e l’Alaskan Malamute.
I primi sintomi si manifestano in genere tra i 3 e i 6 mesi di età : può trattarsi di episodi sporadici o di attacchi ripetuti.
I sintomi possono variare di intensità e non è detto ci si accorga “ad occhio” che il cane sia affetto da HOD.
Ciò che non passa inosservato ai proprietari è che:
a) il cane che rifiuta di alzarsi e muoversi;
b) quando si muove sembra “camminare sulle uova”
c) segni di zoppia.
A questi primi evidenti segnali si accompagna spesso, ma non sempre, la febbre (intorno ai 40°C) e il quadro clinico tende a peggiorare.
Il Dottor Brown (membro del comitato salute dell’Irish Setter Club of America) che ha una vasta esperienza in merito all’ HOD spiega che l’osteodistrofia ipertofica fa sì che la regione delle metafisi delle ossa lunghe (e cioè la zona in prossimità delle placche della crescita verso la metà dell’osso, non verso l’articolazione) risulti morbida se premuta dal veterinario, gonfia e calda (toccando dall’interno).
Il cane prova molto dolore in questa area e le lastre possono rivelare cambiamenti nella struttura ossea delle metafisi. L’osteodistrofia ipertrofica è bilaterale e in molti casi affligge tutti e quattro gli arti.
I sintomi possono scomparire da soli o grazie all’aiuto di opportune terapie: in alcuni casi l’osteodistrofia ipetrofica può portare alla morte del cane.
Quali sono le cause?
Purtroppo non è possibile rispondere a questa domanda con certezza: allo stato attuale si possono fare solo “ipotesi”.
Per prima cosa va detto che sebbene più esemplari di una stessa cucciolata possano risultare affetti da HOD, è (al momento) esclusa l’ereditarietà della malattia.
Si tratterebbe quindi (al contrario di altre patologie ortopediche come la displasia) di una malattia che non si trasmette geneticamente da genitori a figli.
Il dottor Brown fa il quadro della situazione spiegando che:
– Alcuni ricercatori sostengono che si tratti di una malattia autoimmune e stanno lavorando per scoprire se questa ipotesi è più o meno fondata.
– Si è pensato che l’osteodistrofia ipertofica fosse provocata da alcuni virus (tra cui quello del cimurro), ma non si hanno certezze in merito a questa teoria: potrebbe darsi che i virus siano solo un fattore di “stress” che favorisca e lasci via libera all’HOD
– L’osteodistrofia potrebbe, secondo altri, essere causata da una carenza di vitamina C (i cani affetti da HOD hanno sintomi simili a quelli si riscontrano in umani affetti da scorbuto e hanno spesso bassi livelli di vitamina C nel sangue). Secondo il dottor Brown questa supposizione è priva di fondamenti scientifici ( i cani auto sintetizzano la vitamina C e non richiedono integrazioni di questa vitamina e le terapie a base di vitamina C non hanno dato i risultati sperati). Forse il basso livello di vitamina C nel sangue è una conseguenza e non una causa della malattia.
– Qualcuno ha annoverato tra le possibili cause di HOD un’alimentazione troppo calorica e/o proteica. Anche questa ipotesi attende di essere scientificamente provata
– Si è supposto che l’HOD fosse causata da alcuni batteri che provocano alterazioni nelle ossa simili a quelle visibili in una lastra di un cane affetto da HOD. Brown sostiene che un buon radiologo sappia individuare le differenze e che, volendo, è possibile accertarsi della presenza/assenza di batteri tramite specifici esami di laboratorio. A favore della teoria “batterica” ci sarebbe la presenza di febbre, a “sfavore” lo scarso successo delle terapie antibiotiche.
In definitiva possiamo concludere che non è ancora ben chiaro cosa causi l’osteodistrofia ipertrofica.
Come si diagnostica l’osteodistrofia ipetrofica?
Attraverso un’accurata visita veterinaria (sulla base dei sintomi) e con l’ausilio di radiografie che, in caso di HOD, mostrano una linea scura (radiolucente) parallela e adiacente alle placche della crescita (metafisi).
Il dottor Brown ricorda però che l’HOD non è sempre individuabile radiograficamente nei primissimi stadi: a volte occorre attendere una settimana dopo la comparsa dei primi sintomi.
La linea radiolucente indica la necrosi dell’osso e il riassorbimento di microscopici pezzettini di osso.
Qual è l’effetto?
L’ HOD causa infiammazioni delle metafisi, che provoca alterazioni del flusso sanguigno in quella zona.
Queste alterazioni disturbano la crescita della cartilagine e delle fisi (placche della crescita) e interferenze con la trasformazione della cartilagine in osso (ossificazione endocondriale): il tutto può modificare l’attività e/o distruggere prematuramente le placche della crescita: in casi gravi il cane può ritrovarsi con una zampa più corta rispetto alle altre o particolarmente incurvata.
Le alterazioni microscopiche visibili nella metafisi in presenza di osteodistrofia ipertofica sono: infiammazione, emorragia, necrosi, microfratture, rimodellamento dell’osso. A volte può esserci la formazione di un nuovo osseo periosteale (osso che si avvolge intorno alla corteccia del precedente a mo’ di manica).
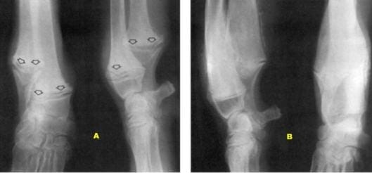
Un altro esempio: alano femmina di 5 mesi. Da tre giorni aveva difficoltà a muoversi. Le metafisi distali di radio e ulna e le zone meta-epifisarie delle tibie apparivano tumefatte. Vennero eseguiti gli esami radiografici.
A: carpo destro. Nella parte prossimale l’articolazione rivela tumefazione dei tessuti molli. Le zone meta-epifisarie di radio e ulna sono allargate. I confini periostali sono irregolari. Una linea radiolucente (frecce) è in posizione immediatamente prossimale alle piastra epifisarie delle due ossa. Prossimalmente a questa, una seconda linea sclerotica. La zona meta-epifisaria distale dell’ulna non ha più il normale disegno coniforme.
B: la radiografia ripresa due mesi più tardi evidenzia l’immutata situazione delle zone meta-epifisarie distali di radio e ulna. Il disegno dell’ossificazione entro il canale midollare è irregolare. La metafisi distale dell’ulna ha riacquistato il normale disegno coniforme. Le zone meta-epifisarie distali di radio e ulna sono interessate da reazione periostiale. Le fisi distali di radio e ulna sono nella norma, ma l’alterato accrescimento dell’arto ha residuato incurvamento e valgismo.
Diagnosi: osteodistrofia ipertrofica.
Quali sono le terapie più indicate?
Premettendo che ogni terapia deve essere adeguata al singolo cane, al singolo soggetto e discussa con il veterinario di fiducia, il dottor Brown illustra la terapia che ha scelto di adottare con numerosi suoi pazienti.
Dopo essersi accertato dell’assenza di sepsi o infezioni, il dottor Brown inizia il trattamento con dosi quotidiane, preferibilmente somministrate in due volte, di prednisone/prednisolone (cortisone) di 2mg per kg di cane.
Il cortisone ha effetti antinfiammatori.
La somministrazione deve essere portata avanti per circa quattro settimane, riducendo il dosaggio dopo 7-10 giorni di trattamento.
In aggiunta si somministrano glucosamina, antibiotici per tre quattro settimane (di solito cloramfenicolo , clindamicina o amoxicillina) e terapie di supporto qualora siano necessarie.
Se casi lievi di HOD (e soprattutto quelli presi agli stadi iniziali) si risolvono senza grandi difficoltà , lo stesso non può dirsi dei casi più gravi che possono richiedere la somministrazione di elettroliti e di fluidi (il dottor Brown cita anche il caso di un cane in cui si era resa necessaria la nutrizione parenterale).
Lo stesso Brown sconsiglia la somministrazione di Rymadil in quanto nella sua esperienza questa scelta non ha dato risultati.
Si ringraziano il dottor Gary S. Brown (DVM/ACVS) e Pat e Karen Martin che hanno gentilmente messo a disposizione la loro storia e le fotografie di Magic.



